Япония привлекает туристов со всего мира. И особый интерес вызывают ее обычаи, люди. Восточная культура непонятна большинству стран мира: что-то может казаться даже диким и отталкивающим. В материале остановимся на 15-ти особенностей из Страны восходящего солнца.
1. Накидзумо
Какая Япония без борцов сумо? Уже 400 лет в стране проводится фестиваль Накидзумо. И именно эти крупные мужчины встряхивают и строят гримасы малышам, чтобы вынудить их заплакать. Это отпугивает злых духов.
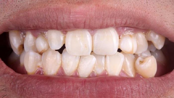
2. Yaeba.
В Японии люди ходят к специалистам, чтобы сделать кривые зубы.
3. «Бублик» на лбу
Образ скоротечный: эффект от процедуры проходит через сутки. Человеку вводится физиологический раствор.
4. Фильтры для лица на мобильном телефоне.
С помощью новых технологий японцы делают большие глаза и гладкую кожу, как в аниме.
5. Гангуро
Исторически японцы представляются темноволосыми с белой кожей, а в последнее время в моде кожа с загаром и пепельный блонд. Жители Японии даже открывают кафе, следующие этому веянию.
6. Совы живут в кафе.
Японцы любят посидеть в кафе, в котором есть совы.
7. Губная помада под шаблон.
Некоторые используют специальный шаблон для ровного контура губ при нанесении помады.
8. Автоматы нижнего белья
В Японии можно быстро купить нижнее женское белье в вендинговом автомате.
9. Увеличение глаз.
При помощи специальных накладок японцы увеличивают глаза без вмешательства хирурга.
10. Лифтинговые маски
Японцы тщательно следят за своей внешностью. Один из трендов: маски, которые корректируют контур, способствуют кровообращению и поддерживают тонус кожи лица.
11. Носим рюкзаки по-японски.
Весной 2018 года Юи Окада предложил новый способ ношения рюкзака. Теперь это один из трендов.
12. Широнури
Широнури — «окрашивание в белый цвет». Белый цвет во всем: кожа, волосы, одежда.
13. Ньётаймори и Нантаймори
Ньётаймори – способ подачи суши на абсолютно обнаженной женщине. Нантаймори – на мужчине.
14. Превращение в детей.
С конца 90-х годов японцы стали периодически одеваться и краситься так, чтобы внешне походить на детей.
15. Слезы для снятия стресса.
В Японии в организациях принято показывать фотографии, видео, способные вызвать слезы у сотрудников. Таким образом, руководство борется со стрессом работников.















